Cavity in Teeth Stages
Tooth decay is one of the most common dental problems worldwide, yet many people don’t realize that a cavity doesn’t appear overnight. It develops slowly, passing through several stages—each with its own signs, symptoms, and treatment options. Understanding these stages can help you take timely action, prevent severe damage, and maintain long-term oral health.
In this blog, we explore the five major stages of cavities, what they look like, and how early intervention can save your tooth.
Table of Contents
1. Stage One: Initial Demineralization – The Silent Beginning
The first stage of a cavity begins with demineralization, where the tooth’s enamel—its strong outer protective layer—starts to lose essential minerals like calcium and phosphate. This typically happens due to plaque buildup, frequent sugar intake, and poor oral hygiene.
You may notice:
- White spots or chalky patches on the tooth surface
- Sensitivity to cold foods and drinks
- Mild roughness on the enamel
At this point, there is no pain, which is why people often ignore it. However, the damage is fully reversible. Dentists commonly recommend fluoride treatments, remineralizing toothpaste, and improving brushing habits. If you act early, the decay stops completely and the tooth returns to its healthy state.
Also Read: Top 9 Home Remedies for Wisdom Tooth Pain: Simple & Effective Relief
2. Stage Two: Enamel Decay – The Cavity Starts to Form
If demineralization is left untreated, the enamel begins to break down. At this stage, you may notice:
- Visible discoloration (brown or black spots)
- Small pits or holes appearing on the enamel
- Slight sensitivity while eating sweets or cold items
Enamel decay is still a surface-level issue, but now the damage is no longer reversible naturally. A dentist usually restores the tooth by removing the decayed portion and adding a filling. The earlier you get it treated, the smaller the filling and the stronger your tooth remains.

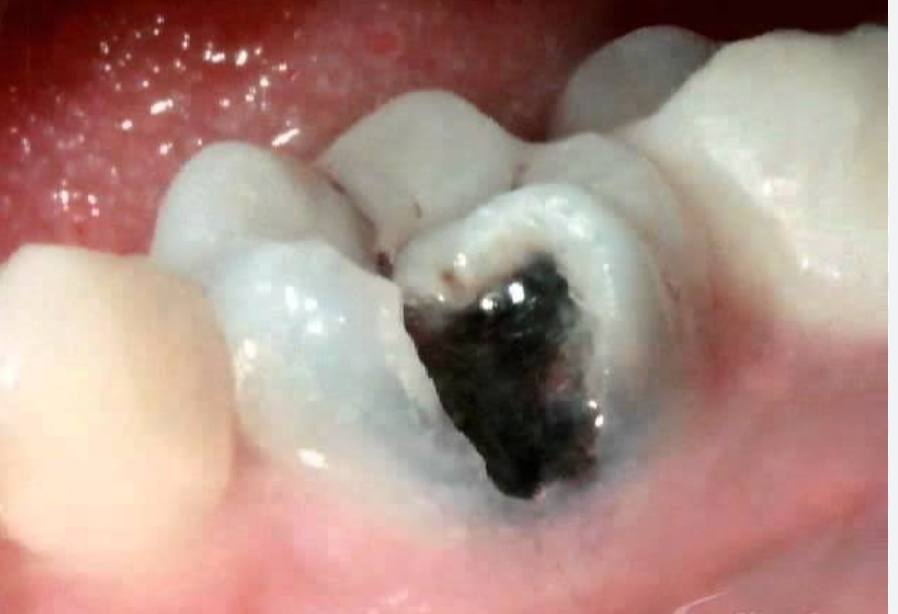
3. Stage Three: Dentin Decay – Sensitivity Becomes Noticeable
Once the decay breaks through the enamel, it reaches the dentin, the softer layer beneath. Dentin contains tiny tubes connected to the nerve of the tooth, which is why sensitivity increases at this stage.
Common symptoms include:
- Sharp sensitivity when eating hot, cold, or sweet foods
- Mild toothache that comes and goes
- Noticeable cavity or hole in the tooth
Dentin decay progresses faster than enamel decay because dentin is much softer. Immediate treatment is essential. Your dentist will recommend larger fillings or possibly a dental crown, depending on how deep the damage is. Delaying treatment can allow bacteria to reach the pulp, causing severe pain and possible infection.
4. Stage Four: Pulp Damage – The Toothache Turns Intense
The pulp is the innermost part of your tooth and contains nerves, blood vessels, and connective tissues. When decay reaches this stage, the infection irritates and inflames the pulp, leading to severe pain.
You may experience:
- Continuous, throbbing toothache
- Pain that radiates to the jaw, ear, or head
- Swelling around the tooth
- Increased sensitivity to pressure
- Difficulty chewing
Pulp damage means your tooth is infected from the inside. At this point, a simple filling won’t help. The typical treatment is a root canal, where the dentist removes the infected pulp, cleans the root canals, and seals the tooth. In some cases, if the damage is too extensive, the tooth may need extraction.
5. Stage Five: Abscess Formation – The Most Dangerous Stage
If pulp infection continues untreated, bacteria spread to the surrounding tissues, forming an abscess—a painful pocket of pus. This is considered a dental emergency.
Symptoms include:
- Severe, persistent pain
- Pus discharge
- Swelling in the face or jaw
- Fever
- Bad taste or foul smell in the mouth
A tooth abscess can be life-threatening if the infection spreads to other parts of the body. Treatment usually involves:
- Root canal therapy, if the tooth can still be saved
- Drainage of the abscess
- Antibiotics
- Tooth extraction for severely damaged teeth
Prompt medical attention is crucial at this stage.
Why Cavities Develop: Key Risk Factors
Cavities are preventable, but several lifestyle and biological factors increase your risk:
- High sugar consumption
- Irregular brushing and flossing
- Dry mouth conditions
- Acidic foods and beverages
- Poor dental hygiene routine
- Genetics
- Deep grooves in teeth
Understanding these risks helps you adjust your habits to maintain strong and healthy teeth.
How to Prevent Cavities at Every Stage
Good oral hygiene goes a long way in stopping cavities before they start. Here are essential prevention tips:
1. Brush Twice Daily
Use a fluoride toothpaste to strengthen enamel and fight early demineralization.
2. Floss Every Day
Flossing removes plaque between teeth, where cavities commonly form.
3. Limit Sugary Snacks
Bacteria feed on sugar and produce acids that attack the enamel.
4. Drink Plenty of Water
Water helps wash away food particles and boosts saliva production.
5. Regular Dental Checkups
Dentists can detect early signs of cavities before you feel any symptoms.
6. Dental Sealants
A great preventive method for children and adults with deep grooves on molars.
Final Thoughts
Cavities don’t appear suddenly—they pass through multiple stages, starting with mild demineralization and ending in painful infections if left unchecked. The key is early detection and timely treatment. Regular dental visits, proper hygiene, and a tooth-friendly diet can prevent cavities from progressing and protect your smile for years to come.
If you want, I can also create a short FAQ, a meta description for SEO, or a simple infographic-style summary of these cavity stages.









